Osborn’s Brain 2nd Edition
19,99$ Original price was: 19,99$.15,99$Current price is: 15,99$.
The book is available in high-quality PDF format. It will be delivered to you instantly via a direct download link immediately after completing the payment process.
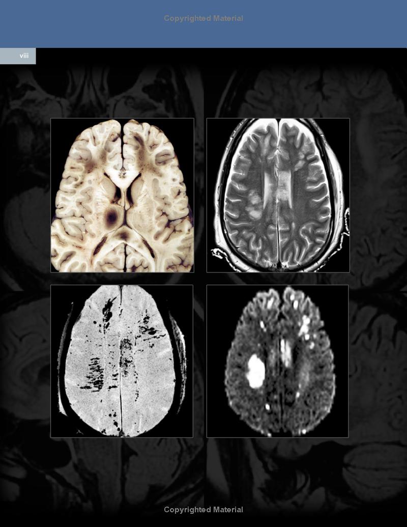
Comprehensive, visually appealing, and easy to understand, Osborn’s Brain, second edition, by the highly esteemed Dr. Anne G. Osborn, provides a solid framework for understanding the complex subject of brain imaging when studied cover to cover. Almost completely rewritten and featuring 75% new illustrations, it combines essential anatomy with gross pathology and imaging, clearly demonstrating why and how diseases appear the way they do. The most immediate emergent diagnostic topics are followed by nonemergent pathologies, integrating the most relevant information from Dr. Osborn’s entire career of accumulated knowledge, experience, and interest in neuropathology, neurosurgery, and clinical neurosciences.
- Covers the “must-know” aspects of brain imaging together with spectacular pathology examples, relevant anatomy, and up-to-date techniques in neuroradiology―perfect for radiologists, neuroradiologists, neurosurgeons, and neurologists at all levels
- Begins with emergent topics such as trauma, nontraumatic hemorrhage, stroke, and vascular lesions, followed by infections, demyelinating and inflammatory diseases, neoplasms, toxic-metabolic-degenerative disorders, and congenital brain malformations
- Features more than 4,000 stunning, high-resolution radiologic images and medical illustrations, all of which are annotated to describe the most clinically significant features
- Includes Dr. Osborn’s trademark summary boxes scattered throughout for quick review of essential facts, as well as the most recent and up-to-date references available
- Helps readers think clearly about diagnoses, types of diagnoses, and the various pathologies that can affect the brain
- Includes new WHO classifications of brain tumors, new entities including IgG4-related disease and CLIPPERS, new and emerging infectious diseases,and updated insights into brain trauma and brain degeneration
- Expert Consult™ eBook version included with purchase. This enhanced eBook experience allows you to search all of the text, figures, Q&As, and references from the book on a variety of devices.
Related products
-
Sale!

Greene’s Infectious Diseases of the Dog and Cat 5th Edition
19,99$Original price was: 19,99$.15,99$Current price is: 15,99$. -
Sale!

Delmar’s Standard Textbook of Electricity 7th Edition
19,99$Original price was: 19,99$.15,99$Current price is: 15,99$. -
Sale!

Comprehensive Textbook of Eyelid Disorders and Diseases First Edition
19,99$Original price was: 19,99$.15,99$Current price is: 15,99$. -
Sale!

Emergency Medical Responder: Your First Response in Emergency Care: . 7th Edition
19,99$Original price was: 19,99$.15,99$Current price is: 15,99$.






Reviews
There are no reviews yet.